Scientists Grow Fully Functional Hair Follicles in the Lab

vitro regeneration
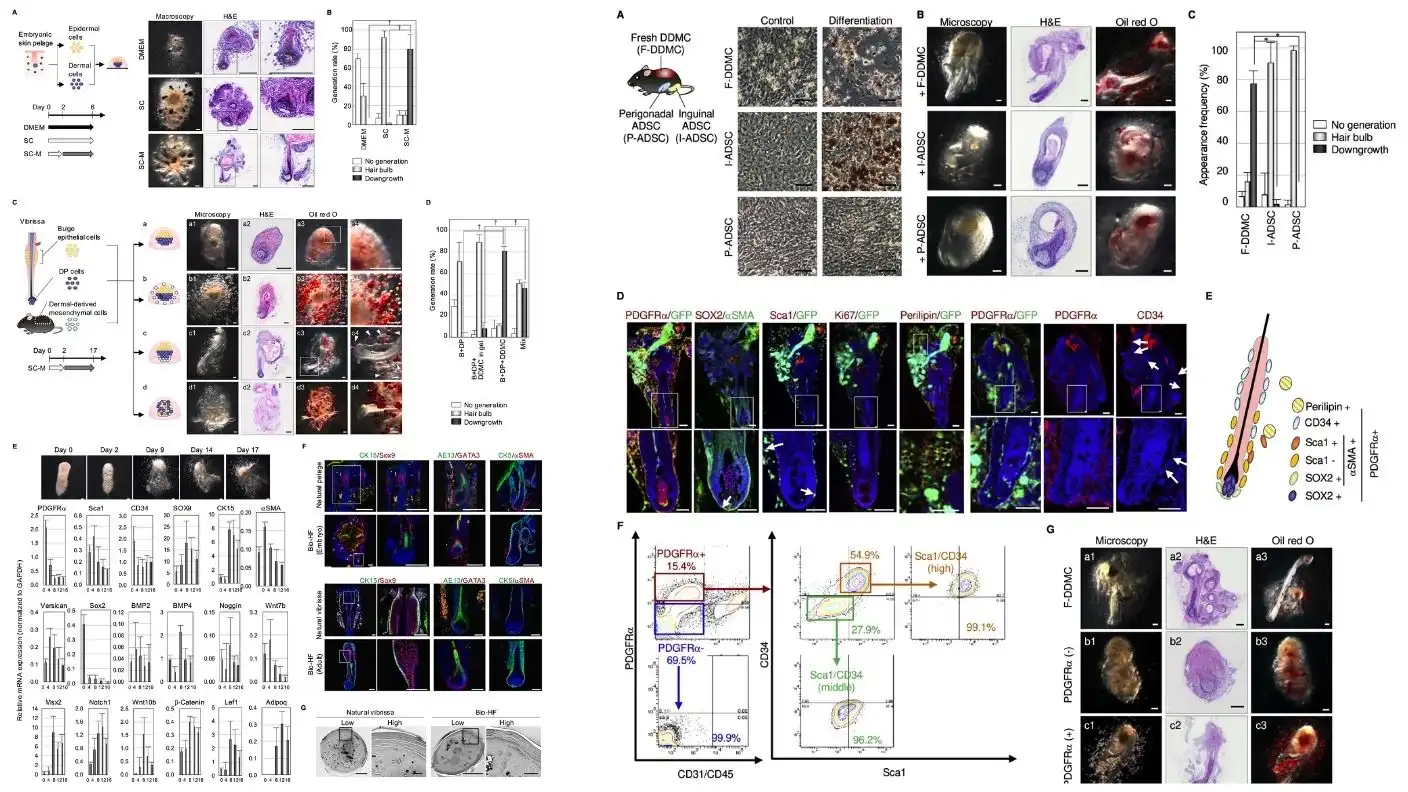
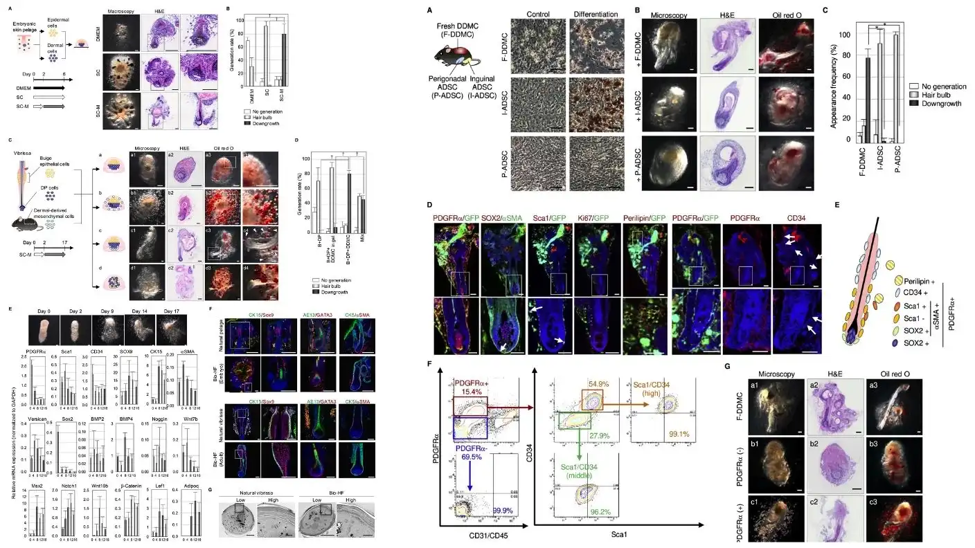
Source: ScienceDirect | In vitro regeneration of the bioengineered hair follicle.

Key Points:

  • Researchers successfully grew functional hair follicles in a lab dish.
  • A newly discovered supporting cell allows the hair to grow deep into the skin.
  • Scientists combined three specific cell types to build these new hair seeds.
  • Transplanted follicles survived in mice and completed natural hair cycles.

Scientists have figured out how to grow complete, working hair follicles outside the body. This discovery could completely change how doctors treat hair loss. The research team managed to grow the hair in a simple lab dish.

The secret to this success comes from a newly identified cell. The researchers found a third type of cell, called an accessory mesenchymal cell. This specific cell acts as a vital supporter. It helps the follicle push deep into the skin to form a proper hair shaft.

ADVERTISEMENT
3rd party Ad. Not an offer or recommendation by dailyalo.com.

Hair naturally goes through a cycle of growing, falling out, and growing back. Recreating this delicate process in a lab has frustrated scientists for years. In the past, lab-grown hair failed to mature or complete a full life cycle.

To fix this, the team searched for missing pieces in adult mouse skin. They found that basic hair parts needed these newly discovered supporting cells to actually push downward. The researchers then layered three types of cells together. They put papilla cells at the bottom, the new supporting cells in the middle, and stem cells on top.

This precise mix created what scientists call an organ germ. Within two weeks, the tiny structure started growing downward in the dish. It eventually sprouted a highly visible hair shaft.

The team then tested these lab-grown follicles on living mice. The new hair connected naturally with the muscles and nerves of the animals. The follicles even went through normal cycles, shedding and regrowing repeatedly over a two-month period.

The researchers published these details in the journal Biochemical and Biophysical Research Communications. They now want to test this exact method using human cells. If it works, this technique could finally offer a real cure for people dealing with severe hair loss.

Source: Biochemical and Biophysical Research Communications (2026).

EDITORIAL TEAM
EDITORIAL TEAM
Al Mahmud Al Mamun leads the TechGolly editorial team. He served as Editor-in-Chief of a world-leading professional research Magazine. Rasel Hossain is supporting as Managing Editor. Our team is intercorporate with technologists, researchers, and technology writers. We have substantial expertise in Information Technology (IT), Artificial Intelligence (AI), and Embedded Technology.
Read More