March 5, 2026

ADVERTISEMENT
3rd party Ad. Not an offer or recommendation by techgolly.com.

Latest March 5, 2026

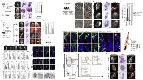
Scientists Grow Fully Functional Hair Follicles in the Lab

Key Points: Researchers successfully grew functional hair follicles in a lab dish. A newly discovered supporting cell allows the hair to grow deep into the skin. Scientists combined three specific cell types to build these new hair seeds. Transplanted follicles survived in mice and completed natural hair cycles. Scientists have figured out how to grow...

Harnessing Nuclear Power: A Glimpse into the Future

The nuclear power industry stands at the forefront of energy innovation, offering a potent solution to the world's increasing demand for sustainable and efficient power sources. As we delve into nuclear power, this article explores the industry's landscape, key drivers of growth, investment avenues, and potential risks, and concludes with the tremendous opportunities ahead. Nuclear...

Oracle Plans Massive Job Cuts to Fund New AI Data Centers

Key Points: Oracle plans to cut thousands of jobs across multiple divisions. The company faces a cash crunch while building new AI data centers. Spending estimates for fiscal 2026 jumped by 15 billion dollars. Oracle recently froze hiring for many open roles in its cloud unit. Oracle is preparing to fire thousands of workers. According...